
Services
We do all kinds of dental treatments to serve you Healthy Smile.

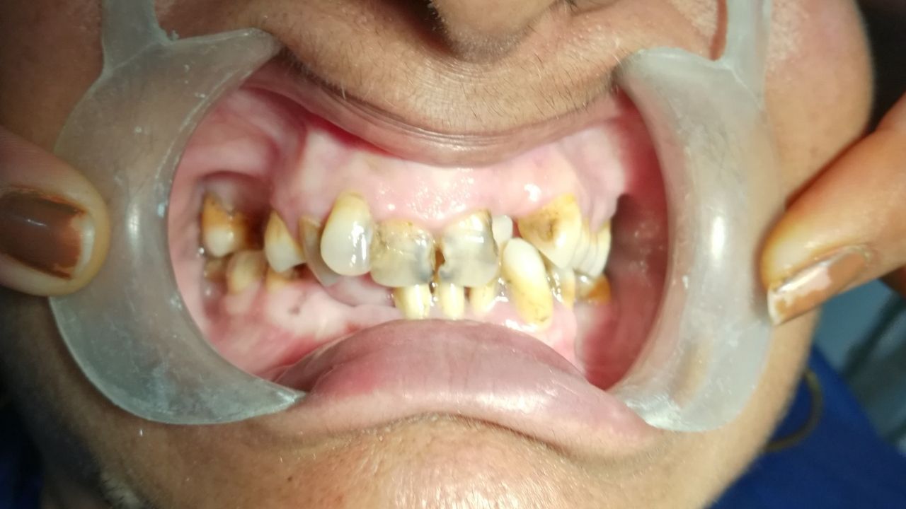
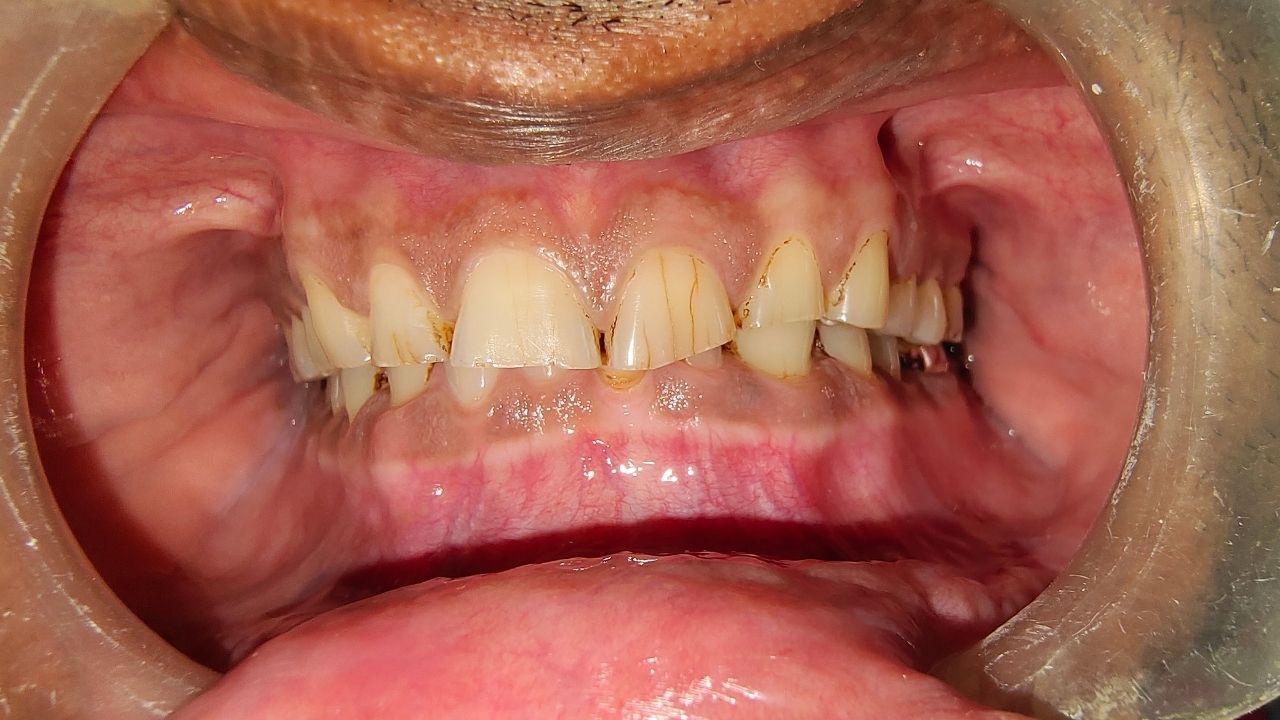
Full mouth Rehabilitation
Full mouth rehabilitation(FMR) is a dental treatment that aims to restore the function, aesthetics, and health of the entire mouth.

Digital Dentistry
Painless dentistry combines the power of technology with dental care, using things like CAD/CAM systems and 3D imaging. It improves diagnostics, and treatment planning in dentistry.

Dental Implants
Dental implants are artificial tooth made of biocompatible materials that are surgically placed in the jawbone. They provide a stable foundation for replacement teeth, allowing for natural-looking and functional smiles.

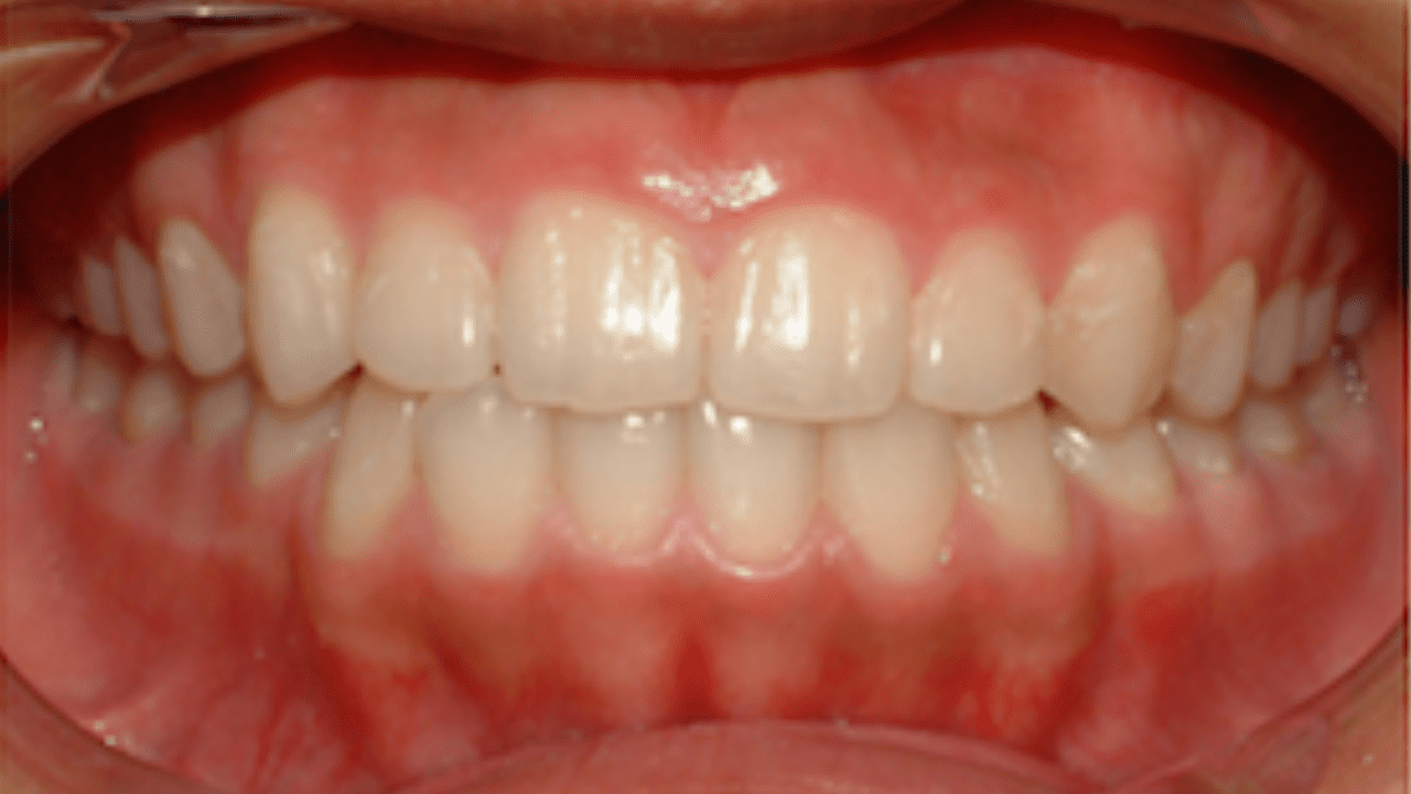
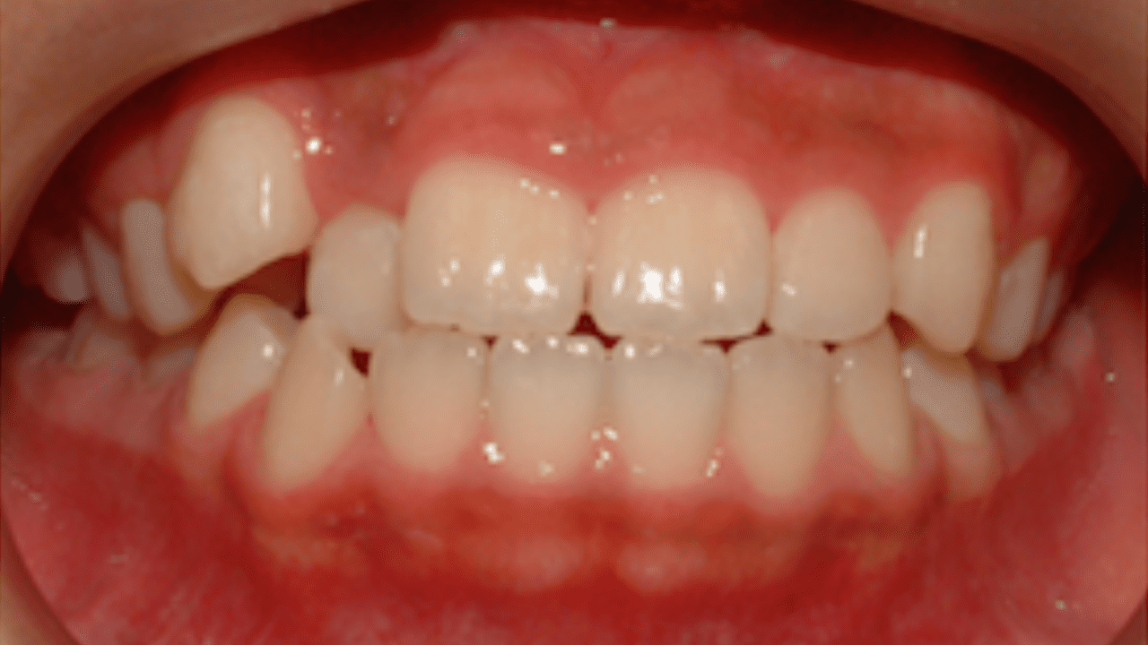
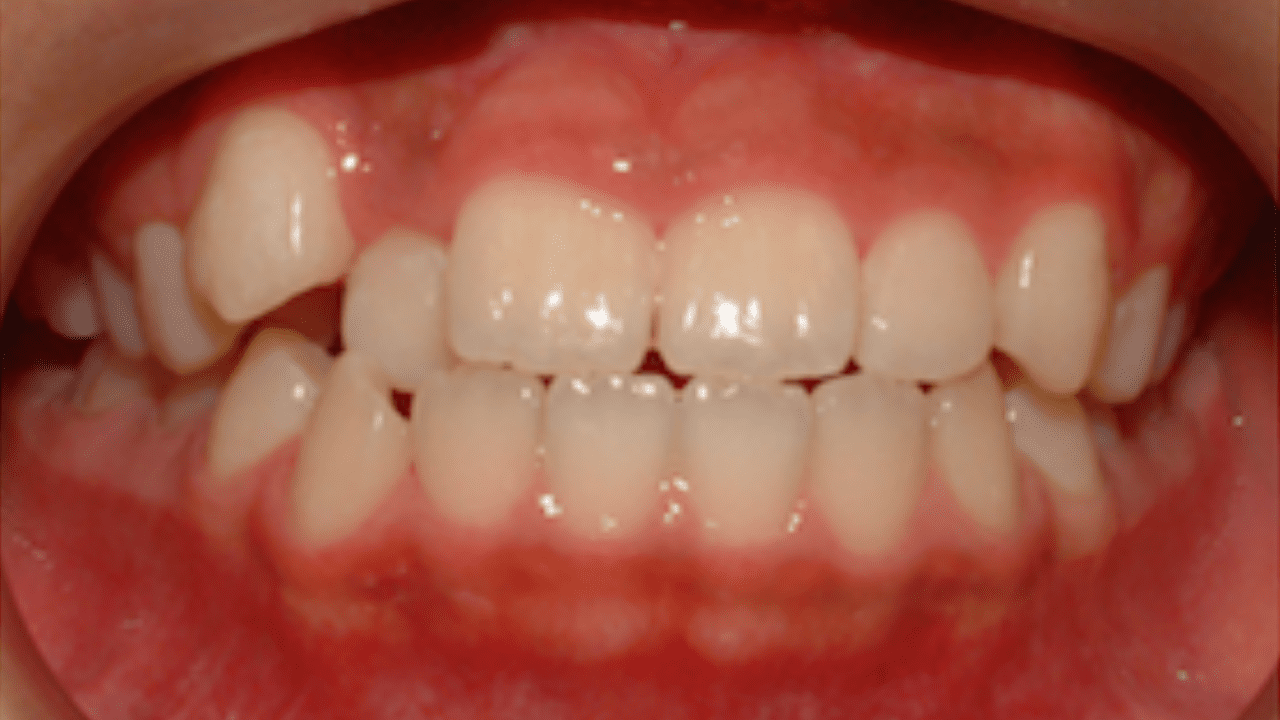
Orthodontic Treatment
Orthodontics treatment involves the use of braces, aligners, or other devices to straighten teeth and correct jaw alignment, leading to improved dental health and a more confident smile.

Clear Aligners
Clear aligners are transparent, removable trays that gradually shift teeth into proper alignment. They offer a discreet alternative to braces, allowing for comfortable and convenient orthodontic treatment while maintaining an aesthetically pleasing appearance.

Wisdom tooth extraction
Wisdom tooth extraction is a surgical procedure to remove impacted or problematic wisdom teeth. It is performed to alleviate pain, prevent overcrowding, and minimize the risk of infection or damage to surrounding teeth.
Success Stories
Testimonials
See how our patients sharing their experience with Krishna Dental Clinic.
“The service I received from Krishna dental clinic is excellent; Dr.Rajesh Devani and the team are friendly and ensure that I properly informed about my dental health and care. I would highly recommend it to everyone.”
Dharmistha Kachhadiya
“Impressive dental clinic! The staff was knowledgeable and attentive. The dentist explained everything clearly and made me feel at ease during my visit.”
Meet Khunt
“Outstanding dental care! The clinic had state-of-the-art equipment, and the dentist was gentle and thorough. I felt confident in their expertise and left with a beautiful smile.”
Ronak Hirani
“I had a very pleasant experience with the doctors and their staff. Dr. Rajesh Devani is an excellent dentist. They took the time to explain every procedure they were doing. I would recommend Dr. Rajesh Devani everyone.”
Dishant Virani
“Amazing dental clinic! The staff was friendly, the facility was clean, and the dentist was skilled. I had a comfortable and painless experience.”
Chetan Patel
“Highly recommend this dental clinic! The team was professional, and the service was efficient. The dentist addressed all my concerns and provided excellent care, thank you.”
Ashish Mangukiya
and many more.
